
When animal control officers in Powhatan County found a tiny cat with multiple gunshot wounds only three days before Christmas, they took her to a local veterinarian for evaluation and learned that the surgeries she needs will cost an estimated $5,500. Without the funds for her intensive medical needs, they were facing the possibility of euthanasia for a sweet, young cat in need of a miracle.

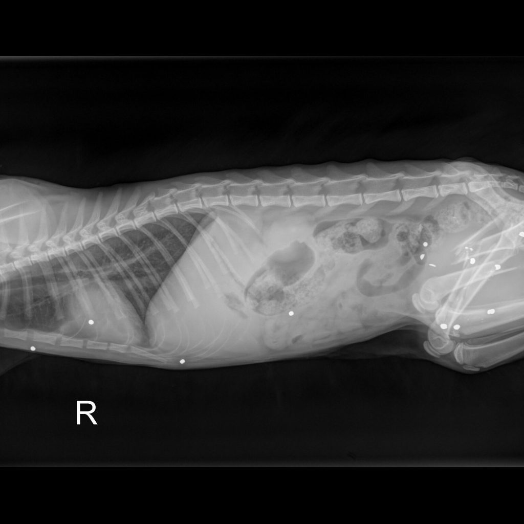
Today this cat arrived at the Richmond SPCA, and we named her Miracle. While Dr. David Molinas, our associate veterinarian, looked her over, she purred and made biscuits on the exam table with a level of affection that disguised the pain she must be experiencing. Radiographs from River Run Animal Hospital, where she was given supportive care yesterday, show metallic fragments that are likely birdshot scattered throughout her body, most highly concentrated in her pelvis and hind limbs. Both of her femurs, the large upper bones of the rear legs, are broken.
Though Dr. Molinas performs a number of complicated orthopedic surgeries for homeless animals we take in each year, Miracle's severe injuries require a specialist, and we have called upon Dr. Roy Barnes of James River Veterinary Surgery. Though the practice is normally closed on Fridays, Dr. Barnes and his surgical team agreed to take on Miracle's urgent case tomorrow. They hope to add a plate to her right femur, which has a single long fracture. Her left femur has broken into multiple pieces and will be more difficult to repair. Dr. Barnes will attempt to fix her left leg as well though we expect that healing will be challenging, and amputation of Miracle's rear leg remains a possibility.
While Miracle undergoes surgery tomorrow, our friends at Powhatan County Animal Control are asking for information:
On December 21, 2022, the Powhatan Sheriff’s Office took custody of a dilute calico kitten approximately 6 months in age. The kitten was picked up in the 2300 block of Georges Road. This kitten has a severe injury requiring immediate medical intervention. Anyone who has information on this incident please contact the Powhatan Crime Solvers at 804-403-4357.
We have set a goal of $5,500 to fund Miracle’s surgery. Any additional donations will prepare us to respond to the next animal in crisis.







Tabitha Treloar joined the Richmond SPCA in 2005 as an admissions counselor and has been our director of communications since 2010. She and her husband live in Richmond with four Richmond SPCA alumni – two cats and two dogs.